Welcome to the UPLiFT Lab!

Our lab combines psychological assessment and state-of-the-art neuroimaging techniques (fMRI and PET) to advance understanding of the relationships between trauma (e.g. PTSD, borderline personality disorder, adverse childhood events) and risk for suicide. We aim to contribute to the development of precision psychiatric interventions, harnessing PET’s unique capacity to test brain and behavior relationships at a molecular level and novel techniques for analyzing behavioral health data. We further aim to contribute to the design and validation of psychiatric assessments to optimize measurement of trauma related psychopathology and constructs relevant to suicide behavior. Our underlying goal is to increase treatment options, create resources, and combat stigma in service of improving life for trauma survivors and the people who love them.

Navigate to this link to learn more about participating in our research. We look forward to working with you!

Our Lab Director.

Dr. Margaret “Maggie” T. Davis, PhD.

Associate Professor | Yale School of Medicine Department of Psychiatry

co-appointment | Department of Psychology

Dr. Davis is a licensed clinical psychologist and Associate Professor in the Yale Department of Psychiatry, co-appointed in the Department of Psychology. As an emergent expert in trauma-and-stressor related conditions, her work seeks to identify neurobiological mechanisms underlying behavioral responses related to PTSD, borderline personality disorder and other forms of trauma related psychopathology (e.g. eating disorders, OCD, substance use), and their link to suicide behaviors and functional impairment. Beyond her personal research projects, Maggie is a specialist with expertise and clinical experience in prolonged exposure, cognitive processing therapy, cognitive behavioral therapy (various protocols) and dialectical behavior therapy (DBT). She serves as the faculty lead for data integration and research management for the Yale New Haven Health Adult Behavioral Intensive Outpatient Program (IOP), Chair of the Scholarship Committee for the Yale Predoctoral Internship Program, and Director of BPD Outreach and Education for the Yale Department of Psychiatry.

Our Team.

Research Updates

Announcements

Announcements

The UPLiFT Lab anticipates hiring a Full-Time Research Assistant to start Spring/Summer 2026!

If you would like to express interest, please email Dr. Davis at margaret.t.davis@yale.edu with the subject line ‘RA Position’.

Check back soon to learn when our application opens!


ACNP 2026

In January, Dr. Davis attended the 2026 American College of Neuropsychopharmacology (ACNP) Annual Conference in Nassau, the Bahamas!

At the conference, Dr. Davis presented a talk as part of a symposium titled ‘Decoding Pain: Brain Structural and Functional Biomarkers’. This talk discussed results from her recent publication in Neuropsychopharmacology. Click here to read the full paper!

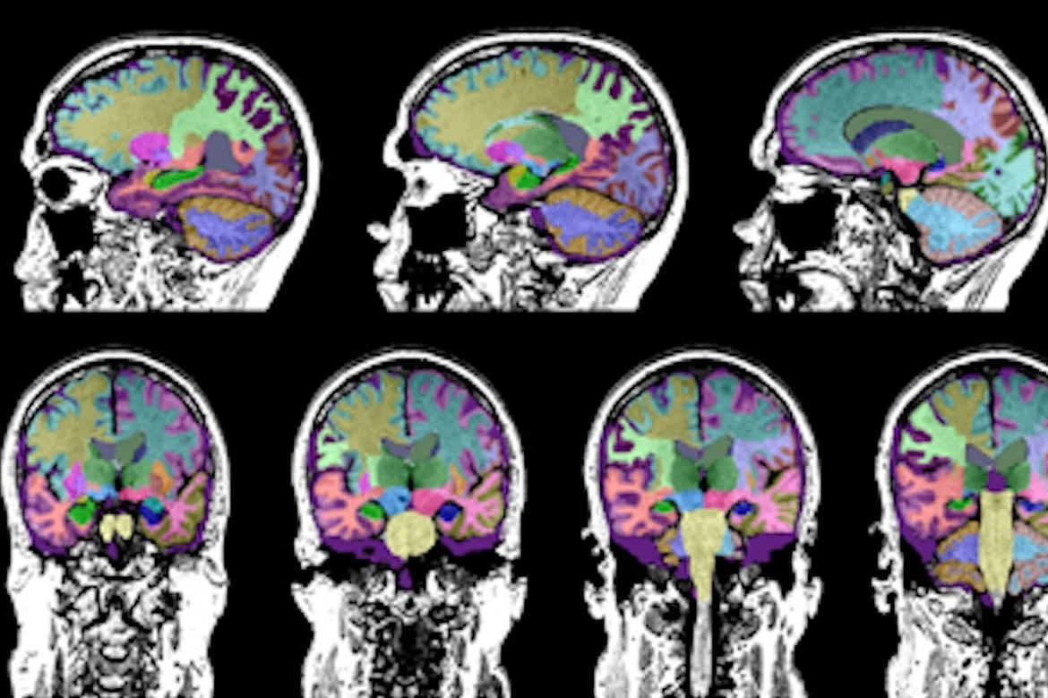
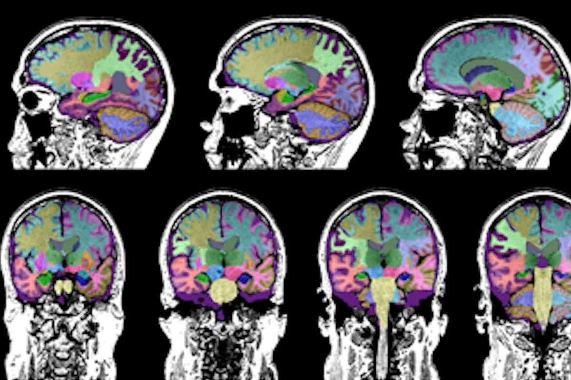
Dr. Davis also presented a poster investigating the relationship between kappa opioid receptor availability (KOR) and BPD traits. See pictures below!

Learn more about our outreach efforts!

Thank you to our friends at @youth.navigate for featuring our lab! Click the image below to listen to Dr. Davis discuss her recent work investigating the connection between metabotropic glutamate 5 receptor (mGlu5) with suicide attempts in people with BPD!

Dr. Davis was honored to present her work as a part of the Sashbear Foundation’s Expert Education Series. Click the image below to listen to Maggie’s webinar hosted by the Sashbear Foundation!

If you would like to follow along to see what the UPLiFT Lab gets up to in realtime, consider following us on Instagram, Facebook, and/or LinkedIn!

Instagram: @yaleupliftlab

Facebook: Yale Uplift Lab

LinkedIn: The UPLiFT Lab